نمونه کارهای
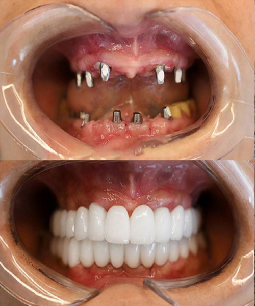
ایمپلنت یک روزه
دیگر لازم نیست هفتهها یا ماهها منتظر بمانید تا جای خالی دندانهایتان پر شود. در مرکز تخصصی دکتر محمودی، با جدیدترین تکنولوژی ایمپلنت یک روزه، میتوانید در کمتر از 24 ساعت صاحب دندانهای دائمی و زیبا شوید و با اعتماد به نفس بیشتری بخندید.
شما هم از این موارد رنج میبرید؟
- جای خالی دندان که بر زیبایی لبخندتان تاثیر گذاشته؟
- احساس ناراحتی هنگام غذا خوردن و صحبت کردن؟
- نگرانی از لق شدن دندانهای مصنوعی؟
- تمایل به داشتن لبخندی طبیعی و ماندگار در کمترین زمان ممکن؟
خبر خوب این است که دیگر لازم نیست با این مشکلات کنار بیایید!
با ایمپلنت یک روزه دکتر محمودی، شما در یک روز صاحب دندانهای جدید میشوید و میتوانید:
- بلافاصله لبخند بزنید: دیگر نگران جای خالی دندانتان نباشید و با خیال راحت در جمع حضور پیدا کنید.
- به راحتی غذا بخورید: از خوردن تمام غذاهای مورد علاقهتان لذت ببرید، بدون هیچ محدودیتی.
- واضح و رسا صحبت کنید: دیگر نگران تلفظ نادرست کلمات به دلیل جای خالی دندان نباشید.
- احساس جوانی و شادابی کنید: لبخند زیبا، اعتماد به نفس را افزایش میدهد و حس بهتری به شما میبخشد.
- در زمان و هزینه صرفهجویی کنید: با این روش پیشرفته، مراحل درمان کوتاهتر شده و در نتیجه، هزینهها نیز کاهش مییابد.
چرا ایمپلنت یک روزه دکتر محمودی، بهترین انتخاب برای شماست؟
✅ تخصص و تجربه: مرکز تخصصی دکتر محمودی با بهرهگیری از متخصصین مجرب و دانش روز دنیا، بهترین خدمات ایمپلنت را به شما ارائه میدهد.
✅ تکنولوژی پیشرفته: استفاده از مدرنترین تجهیزات و مواد با کیفیت، تضمینکننده موفقیت درمان و رضایت شماست.
✅ راحتی و سرعت: ما قدر زمان شما را میدانیم و تلاش میکنیم تا فرآیند درمان در کوتاهترین زمان ممکن و با کمترین میزان ناراحتی انجام شود.
✅ طراحی لبخند اختصاصی: لبخند شما، منحصر به فرد است. ما با طراحی دقیق و متناسب با چهره شما، لبخندی زیبا و طبیعی را به شما هدیه میدهیم.
.jpg)
همین حالا تصمیم بگیرید و لبخند رویایی خود را در یک روز به واقعیت تبدیل کنید!
برای دریافت مشاوره رایگان و اطلاع از جزئیات بیشتر، روی دکمه زیر کلیک کنید:
منتظر دیدار شما در مرکز تخصصی دکتر محمودی هستیم تا لبخندی ماندگار را به شما هدیه دهیم.


دیدگاه کاربران
نظرات
هستی
۱۴۰۴/۰۲/۲۰
فرم ارسال پاسخ
من یکروزه پایه ایمپلنت گذاشتم قراره یک ماه بعد روکش و تحویل بگیرم.خدا رو شکر خیلی سریع کارم انجام شد
هستی
۱۴۰۴/۰۲/۲۰
فرم ارسال پاسخ
من یکروزه پایه ایمپلنت گذاشتم قراره یک ماه بعد روکش و تحویل بگیرم.خدا رو شکر خیلی سریع کارم انجام شد
کتانه آذرشید
۱۴۰۴/۰۲/۲۰
فرم ارسال پاسخ
فکر نمیکردم امکان پذیر باشه ولی واقعا پایه ها همون روز گذاشته شد در مدت زمان خیلی کوتاه بدون درد سپاس از دکتر محمودی و مجموعه شون
ساناز پوریان
۱۴۰۴/۰۲/۲۰
فرم ارسال پاسخ
چند ماه پیش برای ایمپلنت فول فک رفتم پیش دکتر محمودی واقعا تجربه فوقالعادهای بود. ابتدا همه چیز رو برام توضیح دادن و محیط مرکز تخصصی هم خیلی آرامشبخش و شیک بود.حالا لبخندم کاملاً طبیعی و زیبا شده و به راحتی میتونم بخندم
سیده فرحناز مدنی
۱۴۰۴/۰۲/۲۰
فرم ارسال پاسخ
تجربه بسیار خوبی بود چون کار دکتر بسیار عالی و بدون درد بود و من از ایشان بسیار سپاسگزارم.
خانم سمامی
۱۴۰۴/۰۲/۲۰
فرم ارسال پاسخ
در این دو جلسه که آقای دکتر ایمپلنتم رو انجام دادن، کارشون فوقالعاده بود.در کمترین زمان و بدون مشکل کارم انجام شد
علی فرخی
۱۴۰۴/۰۲/۲۰
فرم ارسال پاسخ
از مشاوره تا درمان، همه چیز به صورت حرفهای انجام شد. از انجام کار در مرکز تخصصی دکتر محمودی خیلی راضی بودم. کارم یک جلسه انجام شد.از زحمات و دقت دکتر سپاسگذارم
مبینا شاهی
۱۴۰۴/۰۲/۲۰
فرم ارسال پاسخ
من از نتیجه کار بسیار راضی هستم و به تمام کسانی که به دنبال یک دندانپزشک ماهر و باتجربه برای ایمپلنت یک روزه هستند، مرکز تخصصی دکتر حامد محمودی را پیشنهاد میکنم. از دکتر محمودی و تیمشان بابت زحماتشان صمیمانه سپاسگزارم.
مازیار بهرامی
۱۴۰۴/۰۲/۲۱
فرم ارسال پاسخ
یکسال پیش دکتر محمودی 6 واحد ایمپلنت برام گذاشتن از تمام مراحل درمان راضی بودم واقعا.تشکر از پرسنل مودب صبور و مهربان این مجموعه رو توصیه میکنم
فرم ارسال نظر
فرم ارسال نظر