نمونه کارهای
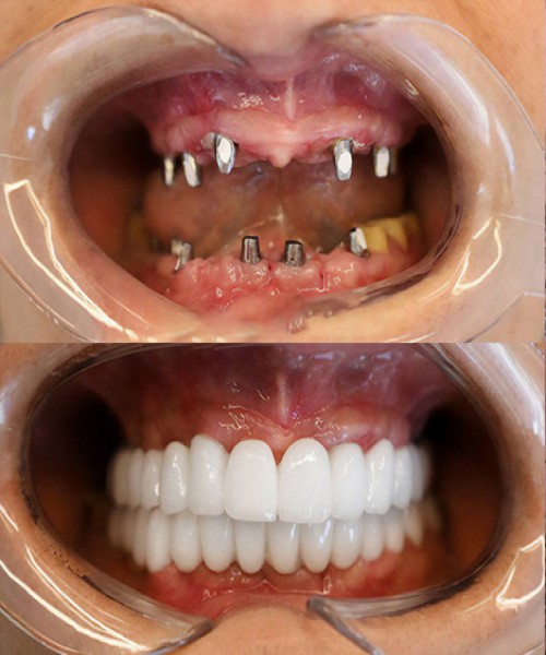
ایمپلنت تمام دیجیتال
تصور کن روزی را که با اعتماد به نفس کامل و لبخندی طبیعی و زیبا به دنیای اطراف نگاه میکنی. آیا آمادهای تا این تحول را تجربه کنی؟
در مرکز تخصصی زیبایی دکترمحمودی، با استفاده از تکنولوژی ایمپلنت تمام دیجیتال، این رویا به واقعیت تبدیل میشود.

چرا ایمپلنت تمام دیجیتال؟
ایمپلنت تمام دیجیتال، انقلابی در دنیای دندانپزشکی است که نتایج سریع، دقیق و بدون درد را به شما ارائه میدهد. چرا باید از روشهای سنتی استفاده کنید که ممکن است زمان بیشتری ببرند و درد بیشتری داشته باشند؟ با استفاده از تکنولوژی پیشرفته، میتوانیم به دقت بیشتری ایمپلنتهای دندانی را برای شما قرار دهیم، بدون نیاز به جراحیهای پیچیده و بدون هیچگونه نگرانی.
.jpg)
مزایای ایمپلنت تمام دیجیتال در مرکز تخصصی دکتر محمودی:
-
دقت بالاتر: با استفاده از سیستمهای دیجیتال، تمامی فرآیندهای نصب ایمپلنت به طور دقیق برنامهریزی میشوند.
-
نتایج فوری: به دلیل سرعت بالای تکنولوژی دیجیتال، میتوانید در مدت زمان کوتاهی به نتایج شگفتانگیزی دست پیدا کنید.
-
راحتی و کمترین درد: دیگر نیازی به نگرانی از جراحیهای پیچیده و دردناک نیست. ایمپلنت تمام دیجیتال تجربهای راحت و بدون استرس به شما ارائه میدهد.
-
طول عمر بیشتر: ایمپلنتهای دیجیتال از مواد با کیفیت بالا ساخته شدهاند که عمر طولانیتری دارند و با گذشت زمان نیاز به ترمیم ندارند.
مراحل انجام ایمپلنت تمام دیجیتال:
-
مرحله اول: ارزیابی دیجیتال کامل از وضعیت دندانهای شما، با استفاده از تصویربرداری پیشرفته.
-
مرحله دوم: طراحی و برنامهریزی دقیق ایمپلنتهای دندانی با نرمافزارهای اختصاصی.
-
مرحله سوم: قرار دادن ایمپلنتها به دقت و سرعت، با کمترین میزان ناراحتی.
-
مرحله چهارم: نتایج فوری و بهبود سریع شما.
آمادهای تغییرات بزرگ رو تجربه کنی؟
تصور کن چند ماه آینده با لبخندی بینظیر در کنار عزیزانت باشی.
این فقط یک تصوّر نیست، این چیزی است که ایمپلنت تمام دیجیتال در مرکز تخصصی دکترمحمودی میتواند برایت به ارمغان بیاورد.
حالا وقت آن است که دست به کار شوی! کافی است بر روی دکمه "مشاوره آنلاین" کلیک کنی و اولین قدم به سمت لبخند جذاب و طبیعیات را برداری.
مقایسه ایمپلنت تمام دیجیتال با روشهای سنتی
| ویژگی | ایمپلنت تمام دیجیتال | روشهای سنتی |
|---|---|---|
| دقت و برنامهریزی | برنامهریزی دقیق با تکنولوژی پیشرفته | دقت کمتری در مراحل انجام |
| زمان درمان | سریعتر و کارآمدتر (1 جلسه) | طولانیتر و نیاز به چند جلسه |
| درد و ناراحتی | حداقل درد و ناراحتی | درد و ناراحتی بیشتر |
| نتایج فوری | بلافاصله پس از انجام | زمان طولانی برای مشاهده نتایج |
| نیاز به جراحی | بدون نیاز به جراحی پیچیده | نیاز به جراحی پیچیده و دوره بهبودی |
| طول عمر ایمپلنت | طول عمر بیشتر و دوام بالا | طول عمر کمتر و نیاز به ترمیم |
| دقت در تطابق با ساختار دهان | تطابق دقیق با ساختار دهان |
احتمال اشتباه در تطابق |
.jpg)

دیدگاه کاربران
نظرات
سورنا شهروش
۱۴۰۴/۰۲/۲۰
فرم ارسال پاسخ
سپاس بی پایان از جناب دکتر محمودی و پرسنل خوش برخوردشان علاوه براینکه کار درمانی بنده در نهایت دقت و ظرافت انجام شد انرژی خوب و آرامش محیط خیلی حس خوشایندی برای من داشت
نگارین
۱۴۰۴/۰۲/۲۰
فرم ارسال پاسخ
کار بسیار خوب و عالی بود .برای پدرم انجام دادم.در کمترین زمان و بدون درد بود.بعد از گذاشتن روکش ۲۰ سال جوانتر شد.خیلی خوشحال بودن و راضی.از زحمات دکتر محمودی سپاسگذارم
نگارین
۱۴۰۴/۰۲/۲۰
فرم ارسال پاسخ
کار بسیار خوب و عالی بود .برای پدرم انجام دادم.در کمترین زمان و بدون درد بود.بعد از گذاشتن روکش ۲۰ سال جوانتر شد.خیلی خوشحال بودن و راضی.از زحمات دکتر محمودی سپاسگذارم
تینا صدر
۱۴۰۴/۰۲/۲۴
فرم ارسال پاسخ
ایمپلنت تمام دیجیتالانجام دادم. به گونهای طراحی شد که هیچ تفاوتی با دندانهای طبیعی من ندارد. هیچکس نمیتواند تشخیص دهد که دندانهای من ایمپلنت شدهاند. برای من خیلی مهم بود که نتیجه نهایی طبیعی به نظر بیاد و خوشحالم که این روش دقیقاً همون چیزی که میخواستم رو به من داد.
لیلی درخشان
۱۴۰۴/۰۲/۲۴
فرم ارسال پاسخ
یکی از بزرگترین نگرانیهای من، زمان بهبودی طولانی بود، ولی خوشبختانه با ایمپلنت تمام دیجیتال، بهبودی بسیار سریع و بدون درد داشت. هیچگونه تورم یا مشکل خاصی نداشتم و تنها چند روز بعد از درمان، احساس میکردم که کاملاً طبیعی شده. این روش واقعاً سریع و موثر است.
مهلقا ابویی
۱۴۰۴/۰۲/۲۴
فرم ارسال پاسخ
وقتی برای ایمپلنت دندان به روش تمام دیجیتال تصمیم گرفتم، خیلی نگران بودم، چون هیچوقت تجربهای از این نوع درمان نداشتم. اما پروسه درمان خیلی سریع، بدون درد و بدون استرس بود. و بهبودی هم خیلی سریع بود و نتیجه نهایی فوقالعاده طبیعی و زیبا شد. واقعاً از این انتخاب خوشحالم و از زحمات دکتر سپاسگذارم
فرم ارسال نظر
فرم ارسال نظر