خدمات
ایمپلنت مرکز تخصصی دکتر حامد محمودی
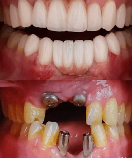
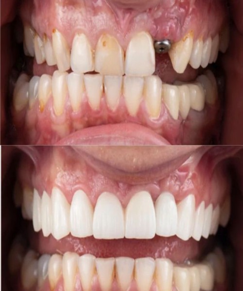
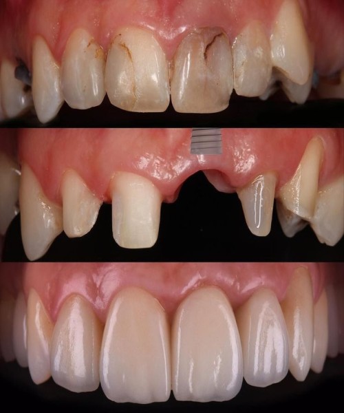
چرا ایمپلنت دندان انتخاب هوشمندانهای است؟
آیا شما هم از مشکلات دندانهای از دست رفته رنج میبرید؟ آیا دندانهای شما از نظر زیبایی یا عملکرد دچار مشکل شدهاند؟ اگر جواب شما بله است، وقت آن رسیده که راهحل بلندمدت و مؤثری را پیدا کنید.
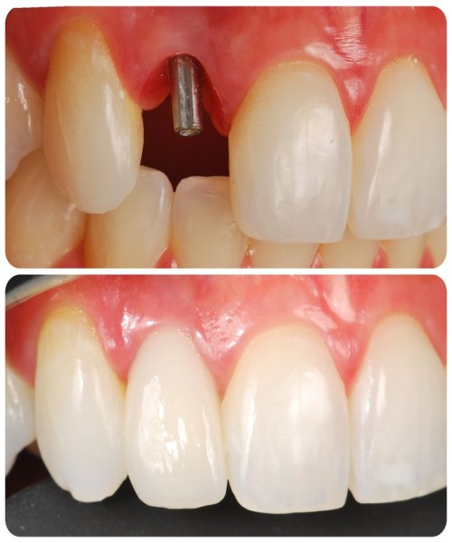
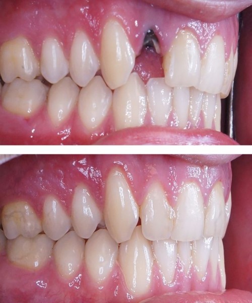
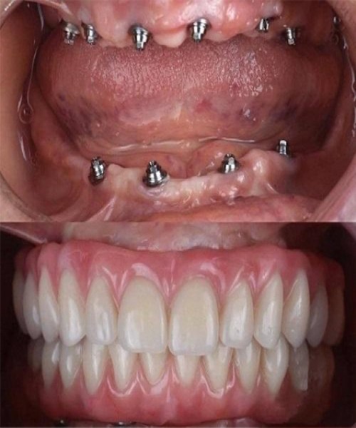
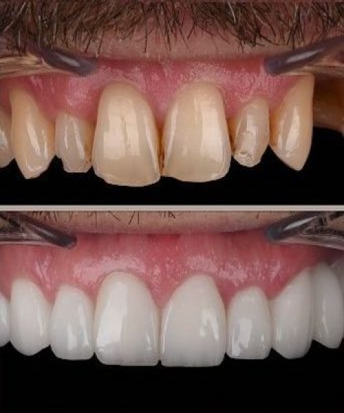
ایمپلنت دندان، نهتنها ظاهری طبیعی و جذاب به شما میدهد بلکه به طور چشمگیری کیفیت زندگی شما را بهبود میبخشد. این روش پیشرفته میتواند جایگزینی دائمی برای دندانهای از دست رفته باشد، که به شما اجازه میدهد دوباره با اعتماد به نفس بخندید، بخورید و حرف بزنید.

مزایای ایمپلنت دندان در مرکز تخصصی دکتر محمودی:
1. کیفیت بالا و نتایج ماندگار:
در مرکز تخصصی دکتر محمودی، از بهترین مواد و تکنولوژیهای روز دنیا برای انجام ایمپلنت دندان استفاده میکنیم. شما میتوانید مطمئن باشید که نتیجه کار دائمی و با کیفیت خواهد بود.
2. مشاوره دقیق و فردی:
ما به شما کمک میکنیم که بهترین انتخاب را بر اساس نیاز و شرایط دندانهای شما داشته باشید. مشاوره تخصصی در هر مرحله از فرآیند ایمپلنت برای ما اولویت دارد.
3. راحتی در درمان:
ایمپلنت دندان فرآیندی ساده است که با تکنولوژیهای پیشرفته ما، بدون درد و با حداقل زمان به نتیجه میرسد.
4. بهبود سلامت دهان و دندان:
با ایمپلنت دندان، نه تنها ظاهر خود را بهبود میبخشید بلکه سلامت دهان و دندان شما هم به شکل قابل توجهی بهتر میشود. ایمپلنتها از تحلیل استخوان جلوگیری میکنند و باعث حفظ ساختار طبیعی فک و دهان میشوند.
چرا باید ایمپلنت دندان را در مرکز تخصصی دکتر محمودی انتخاب کنید؟
مرکز تخصصی دکتر محمودی با بیش از سالها تجربه در ارائه خدمات دندانپزشکی پیشرفته، به شما این اطمینان را میدهد که درمان شما با بهترین کیفیت و در محیطی کاملاً استریل و بهداشتی انجام خواهد شد. پزشکان ما از تکنیکهای نوین و تجهیزات روز دنیا برای انجام ایمپلنت استفاده میکنند.
.jpg)
آیا ایمپلنت دندان برای شما مناسب است؟
این سوال ممکن است در ذهن شما به وجود آمده باشد. خبر خوب این است که ایمپلنت دندان تقریباً برای تمامی افرادی که دندان از دست دادهاند، مناسب است. پزشکان ما با معاینه دقیق، مناسبترین گزینهها را برای شما پیشنهاد خواهند داد.
به راحتی با ما در ارتباط باشید
اگر هنوز سوالات زیادی دارید یا از قیمتها و مراحل درمان آگاهی ندارید، تنها کافی است روی دکمه مشاوره رایگان کلیک کنید و با تیم متخصص ما ارتباط برقرار کنید. ما به شما کمک خواهیم کرد تا بهترین تصمیم را بگیرید و به شما اطلاعات دقیقی را در مورد فرآیند ایمپلنت، هزینهها و مزایای آن ارائه خواهیم داد.
ایمپلنت دندان، تنها یک درمان نیست. بلکه فرصتی است برای بازگشت به زندگی راحتتر، زیباتر و بدون دغدغههای دندانی!
