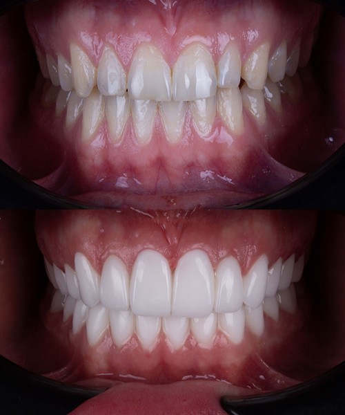
نمونه کارهای
لمینیت
لمینت دندان یک لایه بسیار نازک و ظریف از جنس سرامیک یا کامپوزیت است که روی سطح جلویی دندانها قرار میگیرد تا ظاهر آنها را زیباتر کند. این روش برای اصلاح رنگ، شکل، فاصله یا شکستگیهای خفیف دندانها استفاده میشود. لمینت یکی از محبوبترین روشهای زیبایی دندانپزشکی است که معمولاً در چند جلسه انجام میشود و نتایج آن فوری و چشمگیر است.اگر از بدرنگی یا ناهمواری دندانهایت ناراضی هستی و بهدنبال یک لبخند جذاب و مرتب میگردی، لمینت میتواند انتخاب مناسبی باشد.

چرا لمینت دندان اینقدر پرطرفدار است؟
لمینت دندان به یکی از محبوبترین روشهای زیبایی دندانپزشکی تبدیل شده است و دلایل زیادی برای این محبوبیت وجود دارد. در ادامه، به برخی از اصلیترین دلایل علاقهی روزافزون به این درمان زیبایی میپردازیم:
ظاهر طبیعی و شفاف
لمینتهای سرامیکی بهویژه به دلیل شفافیت و شباهت بالای خود به مینای دندان طبیعی، ظاهر بسیار طبیعیتری نسبت به سایر روشها دارند. این ویژگی باعث میشود که حتی در نزدیکترین دیدگاهها، دندانها بهطور طبیعی و جذاب به نظر برسند.
کمترین نیاز به تراش دندان
برخلاف برخی از درمانهای دیگر که نیاز به تراش یا برداشتن حجم زیادی از دندانها دارند، در بسیاری از موارد، لمینت دندان بهویژه نوع بدون تراش آن (لومینیرز) با کمترین یا بدون تراش دندان انجام میشود. این ویژگی باعث میشود که آسیب کمتری به دندانهای طبیعی وارد شود.
بازیابی اعتماد به نفس
برای افرادی که به دلایلی مانند دندانهای بدرنگ، ترکخورده یا نامرتب احساس ناخوشایندی نسبت به لبخند خود دارند، لمینت دندان میتواند تاثیر چشمگیری در بازیابی اعتماد به نفس داشته باشد. با اصلاح ظاهری دندانها، بسیاری از افراد احساس راحتی بیشتری در تعاملات اجتماعی و حرفهای پیدا میکنند.
مناسب برای انواع مشکلات دندانی
لمینت دندان میتواند برای درمان مشکلات مختلفی مانند دندانهای بدرنگ، ترکخورده، فاصلهدار یا نامرتب استفاده شود. بنابراین، این درمان برای بسیاری از افراد با شرایط دندانی متفاوت مناسب است.
افزایش تمرکز بر زیباییشناسی و مراقبت از خود
در دنیای امروز، زیبایی و مراقبت از خود از اهمیت بیشتری برخوردار است. مردم در جستجوی راههایی هستند که بدون نیاز به جراحیهای پیچیده، تغییرات مثبت و قابل مشاهدهای در ظاهر خود ایجاد کنند. لمینت دندان بهعنوان یک روش غیرتهاجمی و کمخطر، به این نیاز پاسخ میدهد و این امر باعث محبوبیت آن شده است.
عدم نیاز به زمان طولانی برای بهبودی
در مقایسه با سایر درمانهای دندانی مانند ارتودنسی، که ممکن است ماهها یا حتی سالها طول بکشد، لمینت دندان روند سریعتری دارد. این ویژگی، بهویژه برای افرادی که زمان کمی دارند یا به دنبال نتایج فوری هستند، باعث میشود که لمینتها انتخابی محبوب و ترند باشند.
سفارشیسازی بالا و تطابق با سلیقه فردی
لمینت دندان بهطور کامل قابلسفارشی است. با توجه به شکل، اندازه و رنگ دندانها، لمینتها بهگونهای طراحی میشوند که بهترین نتیجه را با ویژگیهای فردی هر بیمار داشته باشند. این سفارشیسازی باعث شده است که افراد بیشتری از این روش استفاده کنند و همچنین باعث افزایش تقاضا برای آن در سطح جهانی شده است.
این دلایل، همراه با تطبیقپذیری بالا و نتایج بینظیر آن، باعث شده است که لمینت دندان به انتخاب اول بسیاری از افرادی تبدیل شود که به دنبال بهبود ظاهر لبخند خود هستند. ترند بودن لمینت دندان، نتیجه ترکیب پیشرفتهای فناوری، علاقه روزافزون به زیبایی و افزایش حضور در رسانههای اجتماعی است. این روش، بهویژه برای افرادی که به دنبال تغییرات سریع، طبیعی و ماندگار در لبخند خود هستند، به گزینهای بسیار جذاب و محبوب تبدیل شده است.
انواع لمینت دندان در مرکز تخصصی دکتر محمودی
قتی صحبت از لمینت دندان میشود، بسیاری از افراد تنها به یک نوع خاص فکر میکنند؛ در حالی که این درمان زیبایی، مدلهای مختلفی دارد که هر کدام برای شرایط خاصی از دندان و نیاز بیمار طراحی شدهاند. انتخاب نوع لمینت مناسب، به عواملی مثل میزان تغییرات مورد نیاز، بودجه، انتظارات زیبایی و حتی میزان سلامت مینای دندان بستگی دارد. در ادامه با انواع لمینت دندان و تفاوتهای آنها بیشتر آشنا میشویم تا بتوانید تصمیم دقیقتری برای لبخند آیندهتان بگیرید.
| نوع لمینت | جنس ماده | میزان تراش دندان | ماندگاری تقریبی | ظاهر نهایی | مزایا | محدودیتها |
| لمینت سرامیکی (پرسلن) | سرامیک فشرده (پرسلن) | متوسط تا زیاد | 10 تا 15 سال | بسیار طبیعی و شفاف | استحکام بالا، مقاوم به رنگپذیری | قیمت بالا، نیاز به تراش دندان |
| لمینت کامپوزیتی | رزین کامپوزیت | کم یا بدون تراش | 5 تا 7 سال | نسبتاً طبیعی | هزینه کمتر، انجام سریع | مقاومت کمتر، احتمال تغییر رنگ |
| لمینت بدون تراش (لومینیرز) | پرسلن بسیار نازک | بدون تراش یا بسیار کم | 10 سال یا بیشتر | بسیار طبیعی و نازک | غیرتهاجمی، حفظ مینای دندان | محدودیت در اصلاحات گسترده |

لمینت دندان برای چه کسانی مناسب است؟
لمینت دندان یکی از روشهای محبوب و موثر برای اصلاح مشکلات ظاهری دندانها است. این درمان میتواند برای بسیاری از افراد با شرایط مختلف دندانی نتایج قابلتوجهی به همراه داشته باشد. اما سوال این است که لمینت دندان برای چه کسانی مناسب است و در کدام موارد میتواند به بهترین نحو عمل کند؟ در اینجا به 7 گروه از افرادی که میتوانند از لمینت دندان بهرهمند شوند اشاره میکنیم.
1. افرادی که دندانهای بدرنگ دارند.
2. افرادی که دندانهای نامرتب دارند.
3. افرادی که دندانهای ترکخورده یا شکسته دارند.
4. افرادی که فاصله بین دندانهایشان زیاد است.
5. افرادی که دندانهای کوچک دارند.
6. افرادی که دندانهایشان فرسوده یا ساییده شدهاند.
7. افرادی که از زیباییشناسی و اعتماد به نفس خود میخواهند مراقبت کنند.
لمینت دندان میتواند برای بسیاری از افرادی که به دنبال بهبود ظاهر دندانهای خود هستند، گزینهای عالی باشد. اگر دندانهای شما دچار مشکلاتی مانند بدرنگی، نامرتبی، ترکخوردگی، فاصله زیاد یا ساییدگی هستند، لمینت دندان میتواند راهحلی مناسب و سریع برای اصلاح این مشکلات باشد. انتخاب لمینت دندان بهعنوان یک درمان زیبایی نیاز به مشورت با دندانپزشک ماهر دارد تا بهترین نتیجه ممکن برای شما حاصل شود.
مزایای انجام لمینت دندان در مرکز تخصصی دکتر محمودی
اگر شما به دنبال داشتن لبخند زیبا و طبیعی هستید، انجام لمینت دندان در مرکز تخصصی دکتر محمودی میتواند گزینهای ایدهآل برای شما باشد. این مرکز تخصصی با بهرهگیری از تکنولوژیهای پیشرفته و تیم متخصص دندانپزشکی، بهترین نتایج را برای بیماران خود ارائه میدهد. در اینجا به مزایای انجام لمینت دندان در مرکز تخصصی دکتر محمودی اشاره میکنیم:
1. استفاده از تکنولوژی پیشرفته و مدرن
در مرکز تخصصی دکتر محمودی، برای انجام لمینت دندان از جدیدترین تجهیزات و فناوریهای روز استفاده میشود. سیستمهای CAD/CAM، اسکنرهای داخل دهانی، و پرینترهای سهبعدی به دندانپزشکان کمک میکنند تا لمینتها را به دقت بالا و در کوتاهترین زمان ممکن طراحی و تولید کنند. این فناوریها باعث میشوند که لمینتها دقیقاً متناسب با دندانهای شما ساخته شوند و ظاهری طبیعی و زیبا به شما بدهند.
2. تیم متخصص و حرفهای
در مرکز تخصصی دکتر محمودی، تیمی از دندانپزشکان متخصص و با تجربه در زمینه زیبایی دندان حضور دارند. این تیم علاوه بر داشتن دانش تخصصی، از حساسیت و دقت بالا در هر مرحله از درمان برخوردار است. پزشکان با بررسی دقیق وضعیت دندانها و نیازهای شما، درمانی شخصیسازیشده و بهترین انتخاب را برای شما انجام میدهند.
3. نتایج طبیعی و زیبا
هدف اصلی انجام لمینت دندان، بهبود ظاهر و زیبایی لبخند است. در مرکز تخصصی دکتر محمودی، لمینتها بهطور کامل با دندانهای طبیعی شما هماهنگ میشوند و نتیجهای بسیار طبیعی و زیبا بهدست میآید. این درمان میتواند رنگ، شکل و اندازه دندانهای شما را بهطور چشمگیری بهبود بخشد، بدون اینکه ظاهر مصنوعی و غیرطبیعی داشته باشد.
4. مشاوره و برنامهریزی درمان شخصی
در مرکز تخصصی دکتر محمودی، قبل از هر اقدامی، مشاوره دقیق و حرفهای با شما انجام میشود. دندانپزشک شما بهطور کامل وضعیت دندانهای شما را بررسی میکند و بر اساس نیازهای شما، برنامه درمانی شخصیسازیشدهای طراحی میکند. این توجه به جزئیات، باعث میشود که نتیجه نهایی کاملاً متناسب با خواستهها و ویژگیهای فردی شما باشد.
5. مراقبتهای پس از درمان
پس از انجام لمینت دندان در مرکز تخصصی دکتر محمودی، مراقبتهای دقیق و پیگیریهای منظم از وضعیت درمان شما انجام میشود. دندانپزشکان در این مرکز تخصصی به شما نحوه مراقبت از لمینتها و بهداشت دهان و دندان را آموزش میدهند تا طول عمر لمینتها افزایش یابد و نتایج درمان پایدار باشد.
6. امنیت و راحتی درمان
در مرکز تخصصی دکتر محمودی، تمامی مراحل درمان با رعایت استانداردهای بهداشتی و ایمنی انجام میشود. محیط مرکز تخصصی بهطور کامل بهداشتی و راحت است و تمامی تجهیزات برای هر درمان بهطور دقیق ضدعفونی میشوند. همچنین، در طول فرآیند درمان، شما احساس راحتی کامل خواهید داشت و نگران هیچگونه درد یا عوارض جانبی نخواهید بود.
7. هزینههای مناسب و مشاوره مالی
یکی از دغدغههای بسیاری از افراد، هزینه انجام درمانهای زیبایی است. در مرکز تخصصی دکتر محمودی، تلاش میشود که هزینههای درمان در دسترس و با توجه به کیفیت خدمات ارائه شده، مقرون بهصرفه باشد. همچنین، در صورتی که نیاز به برنامهریزی مالی دارید، مشاورههای مالی در اختیار شما قرار میگیرد تا پرداخت هزینهها برای شما آسانتر شود.

لبخندی که میتواند زندگی تان را تغییر دهد!
اگر شما هم به دنبال لبخندی زیبا، طبیعی و بدون عوارض هستید، همین امروز برای مشاوره و تعیین وقت درمان با مرکز تخصصی دکتر محمودی تماس بگیرید!
در مرکز تخصصی دکتر محمودی، شما نهتنها لبخندی زیبا و طبیعی خواهید داشت، بلکه درمانی امن و راحت را تجربه خواهید کرد. نگران هیچچیز نباشید، ما همراه شما هستیم تا بهترین نتایج را بهدست آورید. امروز برای دریافت مشاوره رایگان و تعیین وقت درمان، با ما تماس بگیرید و گام اول را برای داشتن لبخندی زیبا و طبیعی بردارید!

دیدگاه کاربران
دیدگاهی ثبت نشده!
فرم ارسال نظر
فرم ارسال نظر