مشاوره رایگان :

02191001949

جراحی دندان عقل | کلینیک تخصصی دکتر حامد محمودی

جراحی دندان عقل | کلینیک تخصصی دکتر حامد محمودی

تاریخ انتشار :

۱۴۰۴ تیر ۲۲

جراحی دندان عقل | کلینیک تخصصی دکتر حامد محمودی

تاریخ انتشار :

۱۴۰۴ تیر ۲۲

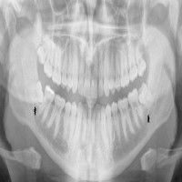
🦷 جراحی دندان عقل؛ چرا باید آن را جدی بگیریم؟

جراحی دندان عقل چیست؟

دندان عقل معمولاً آخرین دندانی است که در سنین ۱۷ تا ۲۵ سالگی رشد می‌کند. در بسیاری از افراد، فضای کافی برای رشد صحیح دندان عقل وجود ندارد؛ به همین دلیل ممکن است به صورت نهفته یا نیمه‌نهفته باقی بماند، باعث درد، التهاب لثه، پوسیدگی دندان‌های مجاور یا حتی آسیب به عصب فک شود.

چه زمانی نیاز به جراحی دندان عقل داریم؟

اگر هر یک از علائم زیر را دارید، احتمالاً به جراحی دندان عقل نیاز دارید:
    •    درد یا فشار در ناحیه عقب فک
    •    التهاب و تورم لثه‌ها
    •    پوسیدگی دندان‌های مجاور
    •    بوی بد دهان یا طعم بد در دهان
    •    کیست یا عفونت اطراف دندان عقل

در چنین مواردی، خارج کردن دندان عقل بهترین و ایمن‌ترین راه درمان است.

چرا جراحی دندان عقل باید توسط متخصص فک و صورت انجام شود؟

جراحی دندان عقل، به‌ویژه اگر نهفته یا نزدیک به عصب فک باشد، کاملاً تخصصی است. انجام آن توسط پزشک عمومی یا بدون مهارت کافی می‌تواند منجر به عوارض جدی شود؛ مثل:
    •    آسیب به عصب فک (بی‌حسی دائمی یا موقت لب و چانه)
    •    عفونت و التهاب شدید
    •    خونریزی غیرقابل‌کنترل
    •    جا ماندن ریشه‌ها در استخوان

دکتر حامد محمودی، متخصص جراحی فک و صورت، با استفاده از تجهیزات مدرن، تکنیک‌های جراحی پیشرفته و دقت بالا، این نوع جراحی را با کمترین درد، تورم و عوارض ممکن انجام می‌دهد.

مزایای جراحی دندان عقل توسط متخصص فک و صورت:
    •    ارزیابی دقیق با اسکن دیجیتال و CBCT
    •    جراحی بدون آسیب به بافت‌های مجاور
    •    رعایت کامل اصول استریل و بهداشتی
    •    ترمیم سریع‌تر زخم و کاهش دوره نقاهت
    •    تجربه بالینی و تصمیم‌گیری هوشمند در شرایط پیچیده

چه نکاتی را قبل و بعد از جراحی باید بدانیم؟

قبل از جراحی:
    •    مشاوره تخصصی و بررسی دقیق عکس رادیولوژی
    •    مصرف آنتی‌بیوتیک طبق نظر پزشک
    •    ناشتا بودن (در صورت نیاز به بیهوشی)

بعد از جراحی:
    •    استفاده منظم از داروهای تجویزشده
    •    پرهیز از غذاهای سفت و نوشیدنی‌های داغ
    •    استفاده از کمپرس سرد در ۲۴ ساعت اول
    •    رعایت کامل بهداشت دهان

آیا جراحی دندان عقل درد دارد؟

با استفاده از بی‌حسی موضعی یا بیهوشی در موارد خاص، حین جراحی دردی احساس نمی‌شود. بعد از عمل هم با مصرف داروهای ضد درد، ناراحتی‌ها قابل‌کنترل هستند.

چرا کلینیک دکتر حامد محمودی؟

🔹 متخصص جراحی فک و صورت
🔹 تجربه بالا در جراحی‌های پیچیده دندان عقل
🔹 استفاده از تکنولوژی روز
🔹 محیطی لوکس، آرام و استریل
🔹 رضایت بالای بیماران از روند درمان

🔍 اگر به دنبال درمان اصولی و ایمن دندان عقل هستید، مهم‌ترین قدم انتخاب پزشک متخصص و باتجربه است.
📍 کلینیک دکتر حامد محمودی، انتخابی مطمئن برای جراحی‌های تخصصی فک، صورت و دندان عقل.

دیدگاه کاربران

دیدگاهی ثبت نشده!

فرم ارسال نظر

فرم ارسال نظر